早期胰臟癌幾無症狀,常到晚期才被診斷,該家庭主婦就是典型個案,約9公分的腫瘤推估至少5年前就存在,但由於疾病初期沒有症狀,除非定期檢查胰臟,否則不易提早診斷。蘋果創辦人賈伯斯即因胰臟癌過世;體育主播傅達仁也因罹胰臟癌,飽受磨難之苦,進而提出安樂死議題,引起各界關注。
北投健康管理醫院影像醫學部主任沈彥君指出,胰臟位在後腹腔,是身體最中心、最深層的部位,加上位處於胃部後方,即使接受胃鏡及超音波檢查,也多有疏漏,難以提早確診。此外,胰臟癌主要症狀為胃悶、食慾不振,常會與消化系統毛病混淆,不少患者以為腸胃不好,吃了成藥,不僅對於症狀毫無幫助,還延誤就醫,因此,確診時都已到了晚期。
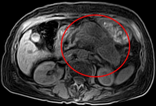
沈彥君進一步解釋,胰臟為細長型,像一條魚橫躺在胃後方,分為胰頭、胰頸、胰體、胰尾等四部分。位在胰臟頭部的腫瘤,容易阻塞總膽管,以致膽汁無法暢流到十二指腸,常有黃疸、食慾不振等症狀;若胰臟癌位在胰尾,在臨床診斷上難度更高,因為腫瘤幾乎不會造成症狀,無聲無息地進展,等到腫瘤大到一定程度或轉移時才會出現體重減輕、食慾不振、腹部不適等症狀。

▲ 胰臟癌症狀為胃悶、食慾不振,常與消化系統毛病混淆,造成延誤就醫。(圖/北投健康管理醫院提供)
沈彥君表示,想要知道胰臟是否健康,必須仰賴磁振造影、電腦斷層,前者無放射線,較為安全,胰臟癌早篩率可達9成;至於超音波檢查,常會被胃腸的空氣擋住視野,成為致命的疏漏。
此外,吸菸、肥胖、年齡增長、慢性胰臟炎、胰臟癌家族史、第二型糖尿病和特定基因疾病,都屬於胰臟癌危險因子,建議民眾要避免吸菸、飲酒,維持標準體重,並定期接受健康檢查。
(本文獲「健康傳媒」授權轉載,原文刊載於此)